จัดฟันโลหะ คือการจัดฟันที่มีเครื่องโลหะติดบนตัวฟัน แบ่งเป็นแบบ ใช้ยางรัด และไม่ใช้ยางรัด

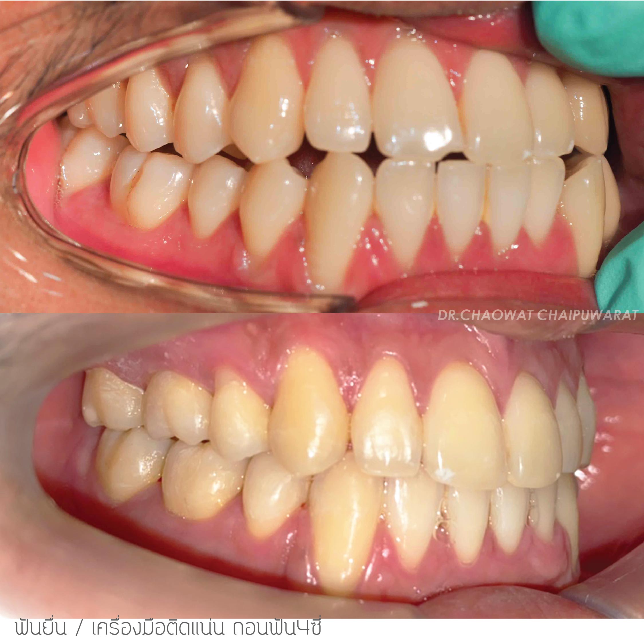
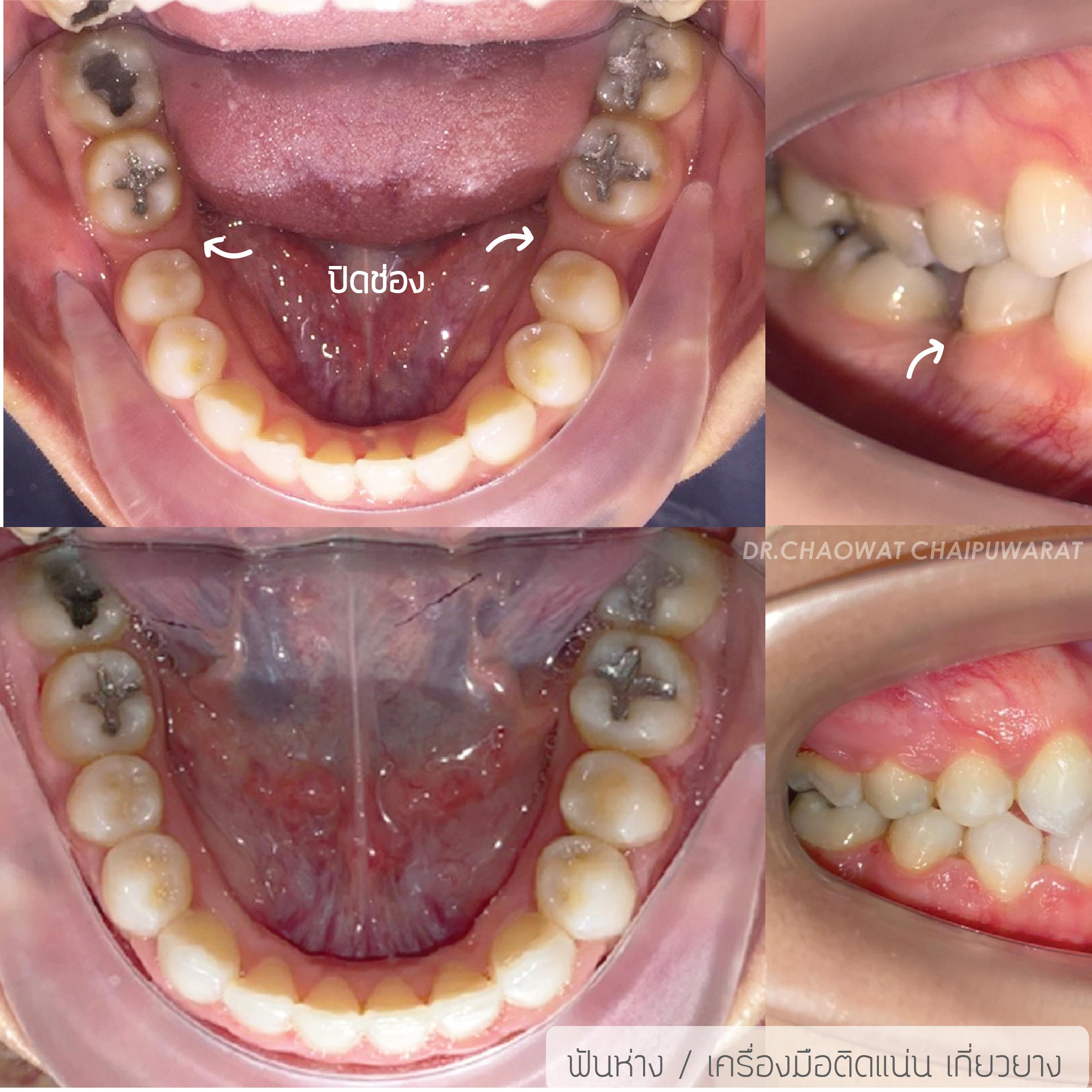
ฟันห่าง จัดฟันช่วยให้ความสวยงามมีความมั่นใจมากขึ้น

ฟันหน้าซี่เล็ก สามารถเรียงฟันซี่อื่นให้ปกติแล้วเสริมก็ทำให้ขนาดฟันดูปกติขึ้นได้

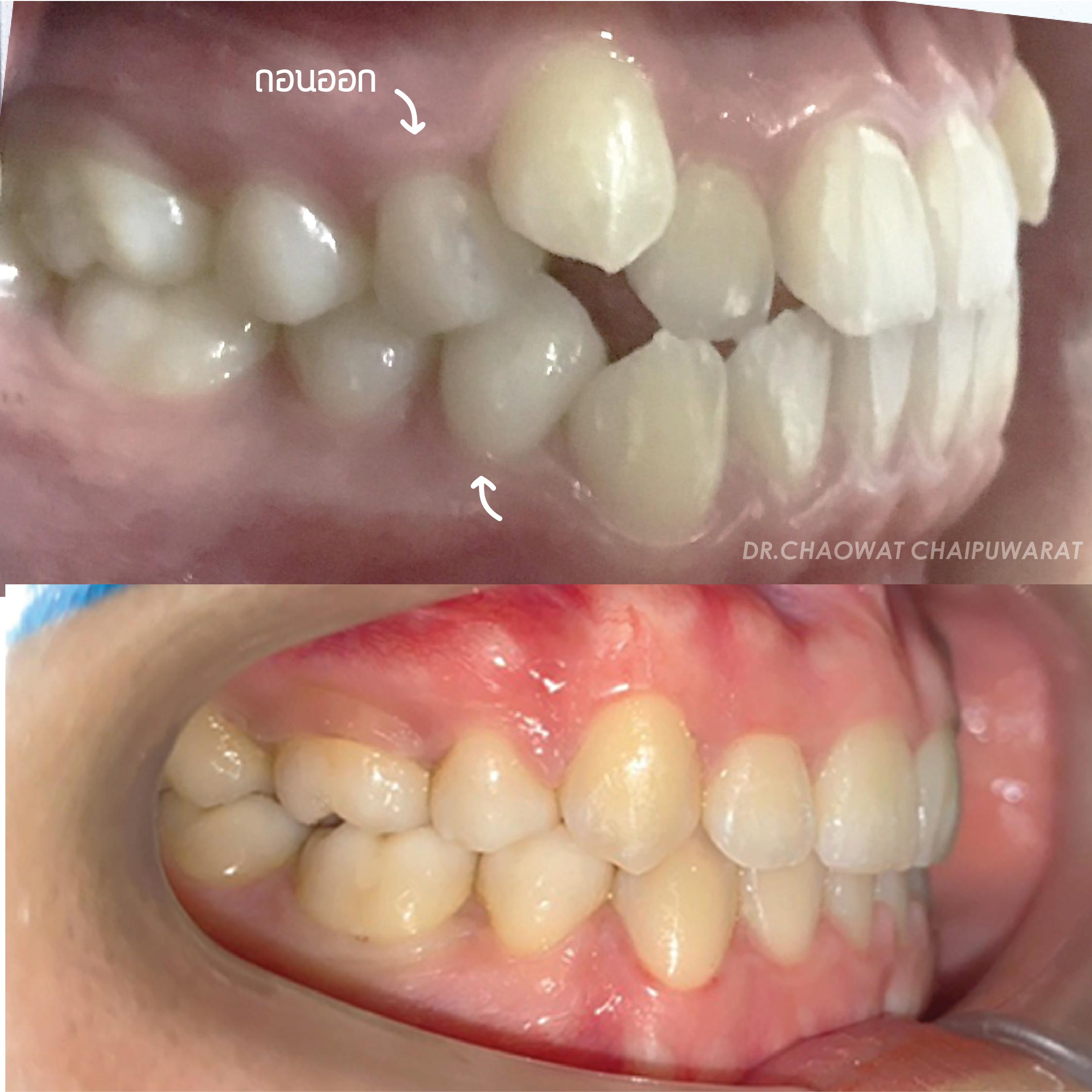
ฟันที่มีความผิดปกติมากๆ อาจส่งผลต่อรูปร่างใบหน้า เมื่อทำการจัดฟันก็จะทำให้รูปร่างใบหน้าดูปกติมากขึ้นได้












